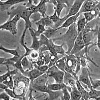
BT-20

Изображение 1

BT-20

BT-20

Описание

Подготовка образца к выдаче начинается только после получения оплаты и согласования приблизительной даты передачи готового материала и занимает 10-14 дней.

Один образец соответствует 2 культуральным флаконам площадью 25 см2 (на каждом флаконе приблизительно 1,5 - 2 миллиона клеток, если вам требуется большее количество клеток вы можете воспользоваться услугой "нарастить под заказ").


Паспорт клеточной линии BT-20 из коллекции КККП ИНЦ РАН

Другие коллекции: АТСС НТВ 19.

Характеристики

Происхождение:
человек, аденокарцинома молочной железы.
Автор:
EY Lasfargues
Публикация:
Cultivation of human breast carcinomas, Lasfargues E.Y., Ozzello L., J. Natl. Cancer Inst. 1958. 21: 1131-1147(PMID: 13611537)
Морфология:
эпителиоподобная
Способ культивирования:
монослойный
Условия культивирования:
среда - ЕМЕМ
сыворотка - эмбриональная бычья 10%
др. компоненты - NEAA 1%.
процедура пересева - cнятие клеток, используя трипсин 0.25%: версен 0.02% (1:3), кратность рассева 1:2 - 1:4
криоконсервация - ростовая среда, 5 -10% DMSO, 2.5х106 клеток/мл в ампуле.
Жизнеспособность после криоконсервации:
85% (окраска трипановым синим на нулевом пассаже).
Контроль контаминации:
бактерии, грибы и микоплазма не обнаружены.
Контроль видовой идентичности:
кариологический анализ.
Кариология:
2n=46, пределы изменчивости по числу хромосом 47-52, модальное число хромосом 49, количество маркеров - 20 (дифференциальная окраска), количество полиплоидов 6.5%.

ДНК профиль (STR):

Amelogenin: Х, Х
CSF1PO: 12, 12
D13S317: 11, 11
D16S539: 11, 14
D5S818: 12, 12
D7S820: 10, 10
THO1: 7, 9,3
TPOX: 11, 11
vWA: 16, 17
Туморогенность:
туморогенны
Другие характеристики:
Туморогенны в мышах nude.
Изоэнзимы PGM3, 1; PGM1, 1; ES D, 1; AK1, 1-2; G6PD, B; GLO-1, 1-2.
HLA клеточный фенотип A1; Bw16+/-
Область применения:
канцерогенез, клеточная биология
Коллекции:
Коллекция культур клеток позвоночных Института цитологии РАН, г. Санкт-Петербург
Источник получения:
аденокарцинома молочной железы
Видовая принадлежность:
Человек (Homo sapiens)