C6

Изображение 1

C6

C6

Описание

Подготовка образца к выдаче начинается только после получения оплаты и согласования приблизительной даты передачи готового материала и занимает 10-14 дней.

Один образец соответствует 2 культуральным флаконам площадью 25 см2 (на каждом флаконе приблизительно 1,5 - 2 Х 106 клеток, если вам требуется большее количество клеток вы можете воспользоваться услугой "нарастить под заказ").

 

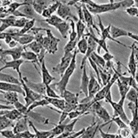
Паспорт коллекционной клеточной линииC6

Происхождение: крыса, глиома, индуцированная in vivo N-нитрозометилмочевиной; клональная клеточная линия.
Science 1968. 161: 370; Fed.Proc. 1968. 27: 720; Атлас хромосом постоянных линий человека и животных, С.Е. Мамаева, 2002. М. Научный мир.
Морфология: глиальная
Способ культивирования: монослойный
Условия культивирования:
среда - F10
сыворотка - лошадиная 15%, эмбриональная бычья 2.5%.
процедура пересева - cнятие клеток, используя трипсин 0.25%: версен 0.02% (1:3), кратность рассева 1:3 - 1:6, оптимальная плотность 1.0-3.0х105 клеток/см2
криоконсервация - ростовая среда, 7.5% DMSO, 1.0-2.0х106 клеток/мл в ампуле
Жизнеспособность после криоконсервации: 93% (окраска трипановым синим на нулевом пассаже)
Контроль контаминации: бактерии, грибы и микоплазма не обнаружены
Контроль видовой идентичности: кариологический, изоферментный (ЛДГ и Г6ФДГ), иммунофлуоресцентный и молекулярно–биологический анализ.
Кариология: 2n= 42, пределы изменчивости по числу хромосом 39-44, модальное число хромосом 42, нормальный кариотип крысы (42, XY), в клетках с 43 хромосомами содержится 1 маркер (дифференциальная окраска), количество полиплоидов 2.0%.
Эффективность клонирования: 26%.
Туморогенность: туморогенны в беспородных крысах
Другие характеристики: чувствительность к вирусам: псевдобешенство, везикулярный стоматит (Индиана), осповакцины, арбовирусы, простой герпес, коровья оспа.
Продукция белка S 100.
Область применения: биохимия, вирусология, дифференцировка, канцерогенез.
Коллекции: ATCC CCL 107; ECACC 85040101; ICLC ATL 95007; БелКККЧЖ; КККП ИНЦ РАН.

Характеристики

Автор:
P Benda, J Lightbody, G Sato, L Levine, W Sweet
Публикация:
Differentiated rat glial cell strain in tissue culture., Benda P, Lightbody J, Sato G, Levine L, Sweet W., Science 1968. 161: 370-371 (PMID: 4873531); Establishment of differentiated clonal strains of glial brain cells in culture., Lightbody JJ, et al., Fed. Proc. 1968. 27: 720
Коллекции:
Коллекция культур клеток позвоночных Института цитологии РАН, г. Санкт-Петербург
Видовая принадлежность:
Крыса серая (Rattus norvegicus)