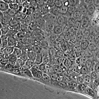
Capan-2

Изображение 1

Capan-2

Capan-2

Описание

Подготовка образца к выдаче начинается только после получения оплаты и согласования приблизительной даты передачи готового материала и занимает 10-14 дней.

Один образец соответствует 2 культуральным флаконам площадью 25 см2 (на каждом флаконе приблизительно 2 - 2,5 миллиона клеток, если вам требуется большее количество клеток вы можете воспользоваться услугой "нарастить под заказ").

Паспорт клеточной линии Capan-2 из коллекции КККП ИНЦ РАН

Другие коллекции: АТСС НТВ 80

Характеристики

Происхождение:
человек, аденокарцинома поджелудочной железы.
Автор:
J Fogh
Публикация:
Human pancreatic adenocarcinoma line Capan-1 in tissue culture and the nude mouse: morphologic, biologic, and biochemical characteristics.,Kyriazis A.P., et al., Am J Pathol. 1982 ;106(2):250-60 (PMID: 6278935)
Морфология:
полигональная
Способ культивирования:
монослойный
Условия культивирования:
среда - RPMI 1640
сыворотка - эмбриональная бычья 10%
процедура пересева - cнятие клеток, используя трипсин 0.25%: версен 0.02% (1:4), кратность рассева 1:2 - 1:4, оптимальная плотность 3.0-5.0х104 кл/см2
криоконсервация - ростовая среда, 5-10% DMSO, 2.0х106 клеток/мл в ампуле
Жизнеспособность после криоконсервации:
92% (окраска трипановым синим на нулевом пассаже)
Контроль контаминации:
бактерии, грибы и микоплазма не обнаружены
Контроль видовой идентичности:
 кариологический и изоферментный (ЛДГ, Г6ФДГ) анализ
Кариология:
 2n=46, пределы изменчивости по числу хромосом 63-71, модальное число хромосом 68-70, количество полиплоидов 2.0%.

ДНК профиль (STR):

Amelogenin: Х Х
CSF1PO: 11 12
D13S317: 11 12
D16S539: 9 13
D5S818: 11 12
D7S820: 9 11
THO1: 9.3 9.3
TPOX: 8 8
vWA: 17 17

Туморогенность:
туморогенны
Другие характеристики:
Туморогенны в мышах nude

Изоэнзимы Me-2,2; PGM3, 2; PGM1, 1; ES D, 1; AK1, 1; GLO-1, 2; G6PD, B.
Область применения:
канцерогенез, иммунология, биохимия.
Коллекции:
Коллекция культур клеток позвоночных Института цитологии РАН, г. Санкт-Петербург
Видовая принадлежность:
Человек (Homo sapiens)