CFTE 29o-

Изображение 1

CFTE 29o-

CFTE 29o-

Описание

Подготовка образца к выдаче начинается только после получения оплаты и согласования приблизительной даты передачи готового материала и занимает 10-14 дней.

Один образец соответствует 2 культуральным флаконам площадью 25 см2 (на каждом флаконе приблизительно 1,5 - 2 миллиона клеток, если вам требуется большее количество клеток вы можете воспользоваться услугой "нарастить под заказ").

 

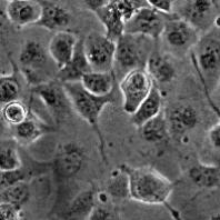
Паспорт клеточной линии CFTE 29o- из коллекции КККП ИНЦ РАН

О наличии данной клеточной линии в других коллекциях нам не известно


Характеристики

Происхождение:
человек, трахеальный эпителий, клетки трансфецированы pSVori-плазмидой
Автор:
K Kunzelmann
Публикация:
An immortalized cystic fibrosis tracheal epithelial cell line homozygous for the delta F508 CFTR mutation., Kunzelmann K. et al., Am.J.Respir.Cell Mol.Biol. 1993. 8; 522-529 (PMID: 7683197)
Морфология:
эпителиоподобная
Способ культивирования:
монослойный
Условия культивирования:
среда - DMEM
сыворотка - эмбриональная бычья 10%
процедура пересева - cнятие клеток, используя трипсин 0.25%: версен 0.02% (1:3), кратность рассева 1:2 - 1:4
криоконсервация - ростовая среда, DMSO 10%, 1.5х106 клеток/мл в ампуле
Жизнеспособность после криоконсервации:
90% (окраска трипановым синим на нулевом пассаже)
Контроль контаминации:
бактерии, грибы и микоплазма не обнаружены
Контроль видовой идентичности:
кариологический, изоферментный (ЛДГ и Г6ФДГ) анализ
Кариология:
2n= 46, пределы изменчивости по числу хромосом 65-73, модальное число хромосом 69-70, количество маркеров – 24% дицентриков (рутинная окраска); количество полиплоидов 3.5%

ДНК профиль (STR):

Amelogenin: Х, Х
CSF1PO: 10, 13
D13S317: 9, 11
D16S539: 10, 12
D5S88: 11, 12
D7S820: 10, 11
THO1: 7, 7
TPOX: 8, 11
vWA: 17, 17
Эффективность клонирования:
30
Другие характеристики:
Экспрессия кератина.

Гомозиготность по D F508-мутации (муковисцидоз - рецессивное генетическое заболевание)
Область применения:
генетическая трансформация, изучение наследственных заболеваний, клеточная биология
Коллекции:
Коллекция культур клеток позвоночных Института цитологии РАН, г. Санкт-Петербург
Видовая принадлежность:
Человек (Homo sapiens)
Оборудование ЦКП работает в течении всего календарного года в интересах базовой организации и для оказания услуг сторонним пользователям.