FBT

Изображение 1

FBT

FBT

Описание

Подготовка образца к выдаче начинается только после получения оплаты и согласования приблизительной даты передачи готового материала и занимает 10-14 дней.

Один образец соответствует 2 культуральным флаконам площадью 25 см2 (на каждом флаконе приблизительно 1,5 - 2 Х 106 клеток, если вам требуется большее количество клеток вы можете воспользоваться услугой "нарастить под заказ").

 

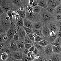
Паспорт коллекционной клеточной линииFBT

Происхождение: бык, эмбрион, трахея.
Folia Biol. 1975. 21: 117.
Морфология: эпителиоподобная
Способ культивирования: монослойный
Условия культивирования:
среда - DMEM
сыворотка - эмбриональная бычья 10%
процедура пересева - cнятие клеток, используя трипсин 0.25%: версен 0.02% (1:3), кратность рассева 1:3 -1:5
криоконсервация - ростовая среда, 8-10% DMSO, 1.0х106 клеток/мл в ампуле
Жизнеспособность после криоконсервации: 98% (окраска трипановым синим на нулевом пассаже)
Контроль контаминации: бактерии, грибы и микоплазма не обнаружены
Контроль видовой идентичности: кариологический, изоферментный (ЛДГ и Г6ФДГ) анализ.
Кариология: 2n= 60, пределы изменчивости по числу хромосом 42-53, модальное число хромосом 48-49, количество полиплоидов 0.2%.
Другие характеристики: чувствительность к вирусам: везикулярный стоматит, инфекционный ринотрахеит крупного рогатого скота, парагрипп 3.
Область применения: вирусология.
Коллекции: НИИ вирусологии РАМН; КККП ИНЦ РАН.

Характеристики

Автор:
M Machatkova (БРНО, 1975)
Публикация:
Folia Biol. 1975. 21: 117
Коллекции:
Коллекция культур клеток позвоночных Института цитологии РАН, г. Санкт-Петербург
Источник получения:
Трахея эмбриона
Видовая принадлежность:
Бык дикий (Bos taurus)