FetMSC

Изображение 1

FetMSC

FetMSC

Описание

Подготовка образца к выдаче начинается только после получения оплаты и согласования приблизительной даты передачи готового материала и занимает 10-14 дней.

Один образец соответствует 2 культуральным флаконам площадью 25 см2 (на каждом флаконе приблизительно 0,5 - 0,7 X 106 клеток, если вам требуется большее количество клеток вы можете воспользоваться услугой "нарастить под заказ").

 

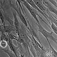
Паспорт клеточной линии FetMSC из коллекции КККП ИНЦ РАН
Коллекция КККП ИНЦ РАН является единственным держателем данной клеточной линии
Клеточная линия с ограниченным сроком пролиферации. Минимальный пассаж для выдачи - 10-12. 

Характеристики

Происхождение:
человек, мезенхимные стволовые клетки из костного мозга 5-6 недельного эмбриона
Автор:
ТА Крылова
Публикация:
• Сравнительные характеристики новых линий мезенхимных стволовых клеток, полученных из эмбриональных стволовых клеток, костного мозга и крайней плоти человека. Крылова Т. А. и др., Цитология. 2012. 54 (1): 5 – 16.
Морфология:
фибробластоподобная
Способ культивирования:
монослойный
Условия культивирования:
среда - DMEM/F12
сыворотка - эмбриональная бычья 10%
процедура пересева - cнятие клеток, используя трипсин 0.25%: версен 0.02% (1:3), кратность рассева 1:3, оптимальная плотность 4.0 - 5.0х103 клеток/см2
криоконсервация - ростовая среда, 10% DMSO, 1.5-2.0х106 клеток/мл в ампуле
Жизнеспособность после криоконсервации:
85% (окраска трипановым синим на нулевом пассаже)
Контроль контаминации:
бактерии, грибы и микоплазма не обнаружены
Контроль видовой идентичности:
кариологический анализ
Кариология:
2n= 46, модальное число хромосом 46 (97.0±1.7 %), нормальный кариотип человека (46, XY), количество полиплоидов 3.0%.

ДНК профиль (STR):

Amelogenin: X, Y
CSF1PO: 9, 12
D13S317: 11, 12
D16S539: 11, 11
D5S818: 12, 13
D7S820: 10, 12
THO1: 7, 8
TPOX: 8, 11
vWA: 14, 15
Другие характеристики:
Среднее время одного удвоения клеточной популяции 33.5 ч; время активной (логарифмической) фазы роста на 6-м пассаже составляет 48 ч.

Линия с ограниченным сроком жизни, до 50 удвоений клеточной популяции не наблюдается снижения пролиферативной активности, но после 27 удвоений ухудшаются фидерные свойства при культивировании на них ЭСК.

Экспрессия поверхностных антигенов, характерных для мезенхимных стволовых клеток: CD44, CD73, CD90, CD105 и HLA-ABC; отсутствие экспрессии антигенов CD34 и HLA-DR.

Направленная дифференцировка в адипогенном, остеогенном и хондрогенном направлениях.
Область применения:
клеточная биология, биотехнология, фидер для культивирования эмбриональных стволовых клеток. Боголюбова И. О., Боголюбов Д. С., Юдинцева Η. М. УЛЬТРАСТРУКТУРА ЯДЕР МЕЗЕНХИМНЫХ СТВОЛОВЫХ КЛЕТОК ЧЕЛОВЕКА В ПРОЦЕССЕ ДИФФЕРЕНЦИРОВКИ //Цитология. – 2018. – Т. 60. – №. 11. – С. 939-942. Ревитцер А. В., Чубинский-Надеждин В. И., Негуляев Ю. А. Влияние предсердного натрийуретического пептида на реорганизацию актинового цитоскелета и миграцию мезенхимных стволовых клеток человека //Цитология. – 2019. – Т. 61. – №. 10. – С. 817-822. Nashchekina Y. et al. Functional polylactide blend films for controlling mesenchymal stem cell behaviour //Polymers. – 2020. – Т. 12. – №. 9. – С. 1969. Lobov A. A. et al. Proteomic profiling of the human fetal multipotent mesenchymal stromal cells secretome //Molecules. – 2020. – Т. 25. – №. 22. – С. 5283. Revittser A. V., Chubinsky-Nadezhdin V. I., Negulyaev Yu A. The Effect of atrial natriuretic peptide on reorganization of actin cytoskeleton and migration of human mesenchymal stem cells. Cell Tiss. Biol. V. 14 [Электронный ресурс]. Соловьёва А. М., Александрова С. А. Оценка показаний автоматизированного счетчика клеток //Цитология. – 2020. – Т. 62. – №. 7. – С. 522-532. Александрова С. А. и др. Остеоиндуктивные свойства секретома мезенхимных стволовых клеток человека, полученного с использованием системы для автоматического культивирования клеток //Цитология. – 2020. – Т. 62. – №. 4. – С. 238-249.
Коллекции:
Коллекция культур клеток позвоночных Института цитологии РАН, г. Санкт-Петербург
Источник получения:
эмбрион, костный мозг
Видовая принадлежность:
Человек (Homo sapiens)
Оборудование ЦКП работает в течении всего календарного года в интересах базовой организации и для оказания услуг сторонним пользователям.