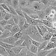
Hos (TE85, clone F5)

Изображение 1

Hos (TE85, clone F5)

Hos (TE85, clone F5)

Описание

Подготовка образца к выдаче начинается только после получения оплаты и согласования приблизительной даты передачи готового материала и занимает 10-14 дней.

Один образец соответствует 2 культуральным флаконам площадью 25 см2 (на каждом флаконе приблизительно 1,5 - 2 Х 106 клеток, если вам требуется большее количество клеток вы можете воспользоваться услугой "нарастить под заказ").

 

Паспорт коллекционной клеточной линииHos (TE85, clone F5)

Происхождение: человек, остеосаркома.
Сancer 1971. 27: 397-402; Int. J. Cancer 1975. 15: 23-29; Int. J.Cancer 1975. 16: 840-849; Атлас хромосом постоянных линий человека и животных, С.Е. Мамаева, 2002. М. Научный мир.
Морфология: эпителиоподобная
Способ культивирования: монослойный
Условия культивирования: среда - DMEM
сыворотка - эмбриональная бычья 10%
процедура пересева - cнятие клеток, используя трипсин 0.25%: версен 0.02% (1:3), кратность рассева 1:2 - 1:6, оптимальная плотность 2.0-4.0x104 клеток/см2
криоконсервация - ростовая среда, 10% DMSO, 2.5x106 клеток/мл в ампуле
Жизнеспособность после криоконсервации: 95% (окраска трипановым синим на нулевом пассаже)
Контроль контаминации: бактерии, грибы и микоплазма не обнаружены
Контроль видовой идентичности: кариологический, изоферментный (ЛДГ и Г6ФДГ) анализ.
Кариология: 2n=46, модальное число хромосом 50, количество маркеров – 19, количество полиплоидов 3.6%
ДНК профиль (STR): Amelogenin: X, Х
CSF1PO: 12, 12
D13S317: 12, 12
D16S539: 10, 13
D5S818: 13, 13
D7S820: 11, 12
THO1: 6, 6
TPOX: 8, 11
vWA: 18, 18
Другие характеристики: чувствительность к вирусной и химической трансформации
Область применения: вирусология, трансформация, биохимия
Коллекции: ATCC CRL 1543; ECACC 87070202; НИИ вирусологии РАМН; КККП ИНЦ РАН.

Характеристики

Автор:
JS Rhim
Публикация:
• Cultivation in vitro of cells derived from a human osteosarcoma., McAllister RM, et al., Сancer 1971. 27: 397-402 (PMID: 5100401) • Non-producer human cells induced by murine sarcoma virus., Rhim JS, et al., Int. J. Cancer 1975. 15: 23-29 (PMID: 165148)
Коллекции:
Коллекция культур клеток позвоночных Института цитологии РАН, г. Санкт-Петербург
Источник получения:
Остеосаркома
Видовая принадлежность:
Человек (Homo sapiens)
Оборудование ЦКП работает в течении всего календарного года в интересах базовой организации и для оказания услуг сторонним пользователям.