K-22

Изображение 1

K-22

K-22

Описание

Подготовка образца к выдаче начинается только после получения оплаты и согласования приблизительной даты передачи готового материала и занимает 10-14 дней.


Один образец соответствует 2 культуральным флаконам площадью 25 см2 (на каждом флаконе приблизительно 1,5 - 2 Х 106 клеток, если вам требуется большее количество клеток вы можете воспользоваться услугой "нарастить под заказ").

 

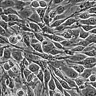
Паспорт коллекционной клеточной линииK-22

Происхождение: крыса, фибробласты, спонтанно трансформированные in vitro.
Получена Н.К.Белишевой, ИНЦ АН СССР, Ленинград, 1976 г. Белишева Н.К. Канд. дисс. 1979 г. Л.
Морфология: фибробластоподобная
Способ культивирования: монослойный
Условия культивирования:
среда - EMEM
сыворотка - эмбриональная бычья 10%
процедура пересева - cнятие клеток, используя трипсин 0.25%: версен 0.02% (1:3), кратность рассева 1:4
криоконсервация - ростовая среда, 5-10% DMSO, 1.0х106 клеток/мл в ампуле
Жизнеспособность после криоконсервации: 80% (окраска трипановым синим на нулевом пассаже)
Контроль контаминации: бактерии, грибы и микоплазма не обнаружены
Контроль видовой идентичности: кариологический, изоферментный (ЛДГ и Г6ФДГ) анализ.
Кариология: 2n=42, пределы изменчивости по числу хромосом 41-44, модальное число хромосом 42, 15% клеток имеют число хромосом 78-83.
Туморогенность: высокотуморогенны
Область применения: клеточная биология.
Коллекции: КККП ИНЦ РАН

Характеристики

Автор:
Н.К.Белишева
Публикация:
Белишева Н.К. Канд. дисс. 1979 г. Л.
Коллекции:
Коллекция культур клеток позвоночных Института цитологии РАН, г. Санкт-Петербург
Видовая принадлежность:
Крыса серая (Rattus norvegicus)
Оборудование ЦКП работает в течении всего календарного года в интересах базовой организации и для оказания услуг сторонним пользователям.