L-8

Изображение 1

L-8

L-8

Описание

Подготовка образца к выдаче начинается только после получения оплаты и согласования приблизительной даты передачи готового материала и занимает 10-14 дней.


Один образец соответствует 2 культуральным флаконам площадью 25 см2 (на каждом флаконе приблизительно 1,5 - 2 Х 106 клеток, если вам требуется большее количество клеток вы можете воспользоваться услугой "нарастить под заказ").

 

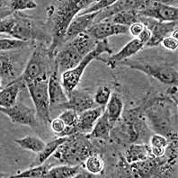
Паспорт коллекционной клеточной линииL-8

Происхождение: крыса Wistar, скелетные мышцы.
Develop.Biol. 1970. 23: 1-22; Differentiation 1977. 7: 159-166.
Морфология: миобластоподобная
Способ культивирования: монослойный
Условия культивирования:
среда - DMEM
сыворотка - эмбриональная бычья 10%
процедура пересева - cнятие клеток, используя трипсин 0.25%: версен 0.02% (1:3), кратность рассева 1:4 - 1:8
криоконсервация - ростовая среда, 10% DMSO, 1.0х106 клеток/мл в ампуле
Жизнеспособность после криоконсервации: 90% (окраска трипановым синим на нулевом пассаже)
Контроль контаминации: бактерии, грибы и микоплазма не обнаружены
Контроль видовой идентичности: кариологический, изоферментный (ЛДГ и Г6ФДГ) анализ.
Кариология: 2n = 42, пределы изменчивости по числу хромосом 36-42, модальное число хромосом 39, в некоторых клетках имеются 1-2 крупные акроцентрические хромосомы (рутинная окраска), количество полиплоидов 1.0%.
Другие характеристики: синтез специфических белков, характерных для скелетных мышц.
Дифференцировка в многоядерные мышечные волокна.
Область применения: дифференцировка, клеточная биология.
Коллекции: ATCC CRL 1769; КККП ИНЦ РАН.

Характеристики

Автор:
D Yaffe
Публикация:
The in vitro cultivation and differentiation capacities of myogenic cell lines., Richler C, Yaffe D., Dev. Biol. 1970. 23: 1-22, (PMID: 5481965); A myogenic cell line with altered serum requirements for differentiation., Yaffe D, Saxel O., Differentiation 1977. 7: 159-166, (PMID: 558123)
Коллекции:
Коллекция культур клеток позвоночных Института цитологии РАН, г. Санкт-Петербург
Источник получения:
Мышцы скелетные
Видовая принадлежность:
Крыса серая (Rattus norvegicus)