LLC-MK2, derivative

Изображение 1

LLC-MK2, derivative

LLC-MK2, derivative

Описание

Подготовка образца к выдаче начинается только после получения оплаты и согласования приблизительной даты передачи готового материала и занимает 10-14 дней.

Один образец соответствует 2 культуральным флаконам площадью 25 см2 (на каждом флаконе приблизительно 1,5 - 2 Х 106 клеток, если вам требуется большее количество клеток вы можете воспользоваться услугой "нарастить под заказ").

 

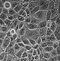
Паспорт коллекционной клеточной линииLLC-MK2, derivative

Происхождение: макака-резус, почка, получена из LLC-MK2 original.
Anat. Rec. 1956. 124: 490; J.Gen.Virol. 1979. 43: 289.
Морфология: эпителиоподобная
Способ культивирования: монослойный
Условия культивирования:
среда - DMEM
сыворотка - эмбриональная бычья 10%
процедура пересева - cнятие клеток, используя трипсин 0.25%: версен 0.02% (1:3), кратность рассева 1:3, оптимальная плотность 2.0-4.0х104 клеток/см2
криоконсервация - ростовая среда, 5-7% DMSO, 1.0-1.5х106 клеток/мл в ампуле
Жизнеспособность после криоконсервации: 80-90% (окраска трипановым синим на нулевом пассаже)
Контроль контаминации: бактерии, грибы и микоплазма не обнаружены
Контроль видовой идентичности: кариологический и изоферментный (ЛДГ, Г6ФДГ и нуклеозидфосфорилаза) анализ
Кариология: 2n= 42, пределы изменчивости по числу хромосом 63-73, модальное число хромосом 67-70, количество маркеров - 1-4, средние субметацентрики со вторичной перетяжкой, количество полиплоидов 4.8%.
Эффективность клонирования: 45%.
Другие характеристики: чувствительность к вирусам: полиовирус 1, 2, 3, парагрипп 2 и 3.
Область применения: вирусология.
Коллекции: ATCC CCL 7.1; КККП ИНЦ РАН; НИИ гриппа РАМН.

Характеристики

Публикация:
Mechanism of persistence of rubella virus in LLC-MK2 cells. Norval M. J Gen Virol. 1979 May;43(2):289-98. (PMID: 113497)
Коллекции:
Коллекция культур клеток позвоночных Института цитологии РАН, г. Санкт-Петербург
Источник получения:
Почка
Видовая принадлежность:
Макака-резус (Macaca mulatta)