LSM

Изображение 1

LSM

LSM

Описание

Подготовка образца к выдаче начинается только после получения оплаты и согласования приблизительной даты передачи готового материала и занимает 10-14 дней.

Один образец соответствует 2 культуральным флаконам площадью 25 см2 (на каждом флаконе приблизительно 1,5 - 2 Х 106 клеток, если вам требуется большее количество клеток вы можете воспользоваться услугой "нарастить под заказ").

 

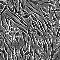
Паспорт коллекционной клеточной линииLSM

Происхождение: мышь, подкожная соединительная ткань, сублиния LS, адаптированная к росту в монослое.
Цитология 1981. 23. 10: 1216.
Морфология: фибробластоподобная
Способ культивирования: монослойный
Условия культивирования:
среда - EMEM
сыворотка - эмбриональная бычья 10%
др. компоненты - NEAA 1%
процедура пересева - cнятие клеток, используя трипсин 0.25%: версен 0.02% (1:3), кратность рассева 1:4, оптимальная плотность 2.0-4.0х104 клеток/см2
криоконсервация - ростовая среда, 10% DMSO, 1.0х106 клеток/мл в ампуле
Жизнеспособность после криоконсервации: 92% (окраска трипановым синим на нулевом пассаже)
Контроль контаминации: бактерии, грибы и микоплазма не обнаружены
Контроль видовой идентичности: кариологический, изоферментный (ЛДГ и Г6ФДГ) и иммунофлуоресцентный анализ.
Кариология: 2n=40, пределы изменчивости по числу хромосом 52-58, модальное число хромосом 56, в большинстве клеток 1 метацентрик со вторичной перетяжкой (рутинная окраска), количество полиплоидов 2%.
Туморогенность: туморогенны в сингенных животных
Область применения: онкология, биохимия.
Коллекции: КККП ИНЦ РАН.

Характеристики

Автор:
Семенова Е.Г.
Публикация:
Изменение продолжительности клеточного цикла и кариотипа клеток L мыши при смене способа культивирования. Семенова Е.Г., Хоменко А.В., Мамаева С.Е. Цитология. 1984. 26 (10): 1156 – 1160.
Коллекции:
Коллекция культур клеток позвоночных Института цитологии РАН, г. Санкт-Петербург
Видовая принадлежность:
Мышь домовая (Mus musculus)
Оборудование ЦКП работает в течении всего календарного года в интересах базовой организации и для оказания услуг сторонним пользователям.