MCF-7

Изображение 1

MCF-7

MCF-7

Описание

Подготовка образца к выдаче начинается только после получения оплаты и согласования приблизительной даты передачи готового материала и занимает 10-14 дней.

Один образец соответствует 2 культуральным флаконам площадью 25 см2 (на каждом флаконе приблизительно 1,0 - 1,5 Х 106 клеток, если вам требуется большее количество клеток вы можете воспользоваться услугой "нарастить под заказ").

 

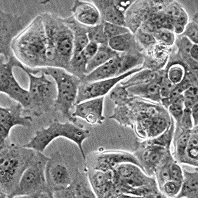
Паспорт коллекционной клеточной линииMCF-7

Происхождение: человек, аденокарцинома молочной железы (плевральная жидкость)
J. Natl. Cancer Inst. 1973. 51: 1409-1416.
Морфология: эпителиоподобная
Способ культивирования: монослойный
Условия культивирования: среда - ЕМЕМ
сыворотка - эмбриональная бычья 10%
др. компоненты - NEAA 1%, бычий инсулин 10 мкг/мл
процедура пересева - cнятие клеток, используя трипсин 0.25%: версен 0.02% (1:3), кратность рассева 1:3, оптимальная плотность 2.0-4.0х104 клеток/см2
криоконсервация - ростовая среда, 8-9% DMSO, 1.0х106 клеток/мл в ампуле
Жизнеспособность после криоконсервации: 94% (окраска трипановым синим на нулевом пассаже)
Контроль контаминации: бактерии, грибы и микоплазма не обнаружены
Контроль видовой идентичности: кариологический анализ
Кариология: 2n=46, пределы изменчивости по числу хромосом 67-87, модальное число хромосом 79-82, количество маркеров 2, крупные акроцентрическая и субметацентрическая хромосомы (рутинная окраска), 29-34 (дифференциальная окраска); количество полиплоидов 0.6%.
ДНК профиль (STR): Amelogenin: X, Х
CSF1PO: 10, 10
D13S317: 11, 11
D16S539: 11, 12
D5S818: 11, 12
D7S820: 8, 9
THO1: 6, 6
TPOX: 9, 12
vWA: 14, 15
Туморогенность: туморогенны в мышах nude
Другие характеристики: изоэнзимы PGM3, 1-2; PGM1, 2; ES D, 1; AK 1, 1; GLO-1, 1-2; G6PD, B.
Рецепторы к эстрогенам, синтезируют эстрадиол.
Возможно присутствие вирусов В- или С-типа.
Способность образовывать «domes»
Область применения: изучение рецепторов, химиотерапия, канцерогенез, клеточная биология, вирусология
Коллекции: ATCC HTB22; ECACC 86012803; ICLC HTL 95021; КККП ИНЦ РАН.

Характеристики

Автор:
HD Soule
Публикация:
A human cell line from a pleural effusion derived from a breast carcinoma. Soule H.D. et all., J. Natl. Cancer Inst. 1973. 51: 1409-1416 (PMID: 4357757).
Коллекции:
Коллекция культур клеток позвоночных Института цитологии РАН, г. Санкт-Петербург
Видовая принадлежность:
Человек (Homo sapiens)
Оборудование ЦКП работает в течении всего календарного года в интересах базовой организации и для оказания услуг сторонним пользователям.