MDBK (NBL-1)

Изображение 1

MDBK (NBL-1)

MDBK (NBL-1)

Описание

Подготовка образца к выдаче начинается только после получения оплаты и согласования приблизительной даты передачи готового материала и занимает 10-14 дней.

Один образец соответствует 2 культуральным флаконам площадью 25 см2 (на каждом флаконе приблизительно 1,5 - 2 Х 106 клеток, если вам требуется большее количество клеток вы можете воспользоваться услугой "нарастить под заказ").

 

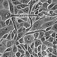
Паспорт коллекционной клеточной линииMDBK (NBL-1)

Происхождение: бык, почка.
Proc. Soc.Exp.Biol.Med. 1958. 98:574; J.Natl.Cancer Inst. 1986. 76:87-93.
Морфология: эпителиоподобная
Способ культивирования: монослойный
Условия культивирования:
среда - F12
сыворотка - эмбриональная бычья 10%
процедура пересева - cнятие клеток, используя трипсин 0.25%: версен 0.02% (1:3), кратность рассева 1:3 - 1:5, оптимальная плотность 2.0-4.0х104 клеток/см2
криоконсервация - ростовая среда, 10% DMSO, 1.0х106 клеток/мл в ампуле
Жизнеспособность после криоконсервации: 90% (окраска трипановым синим на нулевом пассаже)
Контроль контаминации: бактерии, грибы и микоплазма не обнаружены
Контроль видовой идентичности: кариологический, изоферментный (ЛДГ и Г6ФДГ) анализ.
Кариология: 2n= 60, пределы изменчивости по числу хромосом 40-57, модальное число хромосом 51-53, количество маркеров - 11-14 (дифференциальная окраска), количество полиплоидов 2.0%.
Эффективность клонирования: 19%.
Другие характеристики: чувствительность к вирусам - альфавирусы, везикулярный стоматит; инфекционный ринотрахеит, парвовирус, аденовирусы I и III и диарея крупного рогатого скота; парагрипп 3.
Область применения: вирусология.
Коллекции: ATCC CCL 22; ECACC 90050801; КККП ИНЦ РАН; НИИ вирусологии РАМН.

Характеристики

Автор:
SH Madin, NB Jr.Darby
Публикация:
Established kidney cell lines of normal adult bovine and ovine origin. Madin SH, Darby NB Jr.. Proc. Soc. Exp. Biol. Med. , 1958. 98: 574-576 (PMID: 13567776)
Коллекции:
Коллекция культур клеток позвоночных Института цитологии РАН, г. Санкт-Петербург
Источник получения:
Почка
Видовая принадлежность:
Бык дикий (Bos taurus)
Оборудование ЦКП работает в течении всего календарного года в интересах базовой организации и для оказания услуг сторонним пользователям.