OKP-GS

Изображение 1

OKP-GS

OKP-GS

Описание

Подготовка образца к выдаче начинается только после получения оплаты и согласования приблизительной даты передачи готового материала и занимает 10-14 дней.

Один образец соответствует 2 культуральным флаконам площадью 25 см2 (на каждом флаконе приблизительно 1,0 - 1,5 Х 106 клеток, если вам требуется большее количество клеток вы можете воспользоваться услугой "нарастить под заказ").

 

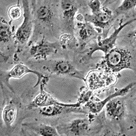
Паспорт коллекционной клеточной линииOKP-GS

Происхождение: человек, карцинома почки
Folia Biol. 1988. 34: 308.
Морфология: эпителиоподобная
Способ культивирования: монослойный
Условия культивирования: среда - DМЕМ
сыворотка - эмбриональная бычья 10%
процедура пересева - cнятие клеток, используя трипсин 0.25%: версен 0.02% (1:3), кратность рассева 1:2 - 1:4
криоконсервация - ростовая среда, 8-10% DMSO, 1.0х106 клеток/мл в ампуле
Жизнеспособность после криоконсервации: 90% (окраска трипановым синим на нулевом пассаже)
Контроль контаминации: бактерии, грибы и микоплазма не обнаружены
Контроль видовой идентичности: кариологический, изоферментный (ЛДГ и Г6ФДГ) анализ.
Кариология: 2n= 46, модальное число хромосом 75, количество маркеров - 2 (дифференциальная окраска)
ДНК профиль (STR): Amelogenin: X, Y
CSF1PO: 10, 12
D13S317: 10, 12
D16S539: 11, 12
D5S818: 7, 11
D7S820: 8, 10
THO1: 9, 9
TPOX: 8, 11
vWA: 16, 18
Туморогенность: не туморогенны в мышах nude
Другие характеристики: чувствительность к вирусам: вирус простого герпеса
Область применения: канцерогенез, клеточная биология
Коллекции: БелКККЧЖ; КККП ИНЦ РАН

Характеристики

Автор:
J Vydra
Публикация:
A new cell line, GS, derived from a human renal cell carcinoma., Vydra J., Folia Biol. 1988. 34: 308 (PMID: 3243360)
Коллекции:
Коллекция культур клеток позвоночных Института цитологии РАН, г. Санкт-Петербург
Источник получения:
Карцинома почки
Видовая принадлежность:
Человек (Homo sapiens)
Оборудование ЦКП работает в течении всего календарного года в интересах базовой организации и для оказания услуг сторонним пользователям.