P19

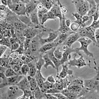
Изображение 1

P19

P19

Описание

Подготовка образца к выдаче начинается только после получения оплаты и согласования приблизительной даты передачи готового материала и занимает 10-14 дней.

Один образец соответствует 2 культуральным флаконам площадью 25 см2 (на каждом флаконе приблизительно 1,5 - 2 Х 106 клеток, если вам требуется большее количество клеток вы можете воспользоваться услугой "нарастить под заказ").

 

Паспорт коллекционной клеточной линииP19

Происхождение: мышь C3H/He, тератокарцинома.
Dev. Biol. 1982. 89: 503-508; J. Cell Biol. 1982. 94: 253-262; Nature 1982. 299: 165-167.
Морфология: эпителиоподобная
Способ культивирования: монослойный
Условия культивирования:
среда - EМЕМ
сыворотка - эмбриональная бычья 10%
процедура пересева - cнятие клеток, используя трипсин 0.25%: версен 0.02% (1:3), кратность рассева 1:3 - 1:6.
криоконсервация - ростовая среда, 5% DMSO, 1.0х106 клеток/мл в ампуле
Жизнеспособность после криоконсервации: 75% (окраска трипановым синим на нулевом пассаже)
Контроль контаминации: бактерии, грибы и микоплазма не обнаружены
Контроль видовой идентичности: кариологический, изоферментный (ЛДГ и Г6ФДГ) анализ.
Кариология: 2n= 40, нормальный кариотип мыши (40, XY).
Эффективность клонирования: высокая эффективность в среде с10-4М бета-меркаптоэтанола.
Другие характеристики: способность дифференцироваться в нейрональные или глиальные клетки в присутствии ретиноевой кислоты, или в сердечные и скелетные мускульные клетки в присутствии DMSO.
Область применения: дифференцировка
Коллекции: ATCC CRL 1825; ICLC ATL 99013; КККП ИНЦ РАН.

Характеристики

Автор:
MW McBurney
Публикация:
Isolation of male embryonal carcinoma cells and their chromosome replication patterns. McBurney MW, Rogers BJ. Dev. Biol. 1982. 89: 503-508, (PubMed: 7056443)
Коллекции:
Коллекция культур клеток позвоночных Института цитологии РАН, г. Санкт-Петербург
Видовая принадлежность:
Мышь домовая (Mus musculus)
Оборудование ЦКП работает в течении всего календарного года в интересах базовой организации и для оказания услуг сторонним пользователям.