PANC-1

Изображение 1

PANC-1

PANC-1

Описание

Подготовка образца к выдаче начинается только после получения оплаты и согласования приблизительной даты передачи готового материала и занимает 10-14 дней.

Один образец соответствует 2 культуральным флаконам площадью 25 см2 (на каждом флаконе приблизительно 2,0 - 2,5 Х 106 клеток, если вам требуется большее количество клеток вы можете воспользоваться услугой "нарастить под заказ").

 

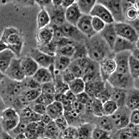
Паспорт коллекционной клеточной линииPANC-1

Происхождение: человек, карцинома поджелудочной железы.
Int. J.Cancer 1975. 15: 741-747.
Морфология: эпителиоподобная
Способ культивирования: монослойный
Условия культивирования: среда - DMEM
сыворотка - эмбриональная бычья 10%
процедура пересева - cнятие клеток, используя трипсин 0.25%: версен 0.02% (1:1), кратность рассева 1:2 - 1:4, оптимальная плотность 2.0-4.0х104 клеток/см2
криоконсервация - ростовая среда, 10% DMSO, 1.0 - 1.5х106 клеток/мл в ампуле
Жизнеспособность после криоконсервации: 90% (окраска трипановым синим на нулевом пассаже)
Контроль контаминации: бактерии, грибы и микоплазма не обнаружены
Контроль видовой идентичности: кариологический и изоферментный (ЛДГ, Г6ФДГ) анализ
Кариология: 2n= 46, модальное число хромосом 61 и 63, количество маркеров - 4 (дифференциальная окраска), количество полиплоидов 8.5%.
ДНК профиль (STR): Amelogenin: X, Х
CSF1PO: 10, 12
D13S317: 11, 11
D16S539: 11, 11
D5S818: 11, 13
D7S820: 8, 10
THO1: 7, 8
TPOX: 8, 11
vWA: 15, 15
Другие характеристики: изоэнзимы G6PD, B.
Область применения: канцерогенез
Коллекции: ATCC CRL 1469: ECACC 87092802; КККП ИНЦ РАН.

Характеристики

Автор:
M Lieber
Публикация:
: Establishment of a continuous tumor-cell line (panc-1) from a human carcinoma of the exocrine pancreas., Lieber M, et al., Int. Int. J.Cancer 1975. 15: 741-747 (PMID: 1140870)
Коллекции:
Коллекция культур клеток позвоночных Института цитологии РАН, г. Санкт-Петербург
Источник получения:
Карцинома поджелудочной железы
Видовая принадлежность:
Человек (Homo sapiens)
Оборудование ЦКП работает в течении всего календарного года в интересах базовой организации и для оказания услуг сторонним пользователям.