Pt K1 (NBL-3-11)

Изображение 1

Pt K1 (NBL-3-11)

Pt K1 (NBL-3-11)

Описание

Подготовка образца к выдаче начинается только после получения оплаты и согласования приблизительной даты передачи готового материала и занимает 10-14 дней.

Один образец соответствует 2 культуральным флаконам площадью 25 см2 (на каждом флаконе приблизительно 1,0 - 1,5 Х 106 клеток, если вам требуется большее количество клеток вы можете воспользоваться услугой "нарастить под заказ").

 

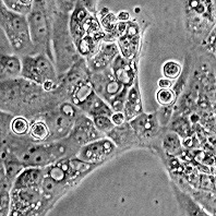
Паспорт коллекционной клеточной линииPt K1 (NBL-3-11)

Происхождение: кенгуровая крыса, почка.
Nature 1962. 194: 406; Cytogenetics 1964. 3: 19.; Цитология 1988. 30: 732-738; Цитология 1996. 38: 75-84.
Морфология: эпителиоподобная
Способ культивирования: монослойный
Условия культивирования:
среда - DMEM
сыворотка - эмбриональная бычья 10%
процедура пересева - cнятие клеток, используя трипсин 0.25%: версен 0.02% (1:3), кратность рассева 1:2 - 1:3, оптимальная плотность 4.0-5.0х104 клеток/см2
криоконсервация - ростовая среда, 10% DMSO, 1.0х106 клеток/мл в ампуле
Жизнеспособность после криоконсервации: 98% (окраска трипановым синим на нулевом пассаже)
Контроль контаминации: бактерии, грибы и микоплазма не обнаружены
Контроль видовой идентичности: кариологический и изоферментный (ЛДГ, Г6ФДГ) анализ
Кариология: 2n= 12, пределы изменчивости по числу хромосом 10-17, модальное число хромосом 11, маркерные хромосомы отсутствуют, один маленький метацентрик нормального диплоидного кариотипа самки отсутствует; количество полиплоидов 2.0%.
Эффективность клонирования: 2%.
Другие характеристики: чувствительность к вирусам: везикулярный стоматит (Индиана).
Область применения: клеточная биология, цитогенетика, вирусология.
Коллекции: ATCC CCL 35; ECACC 91013163; НИИ вирусологии РАМН; КККП ИНЦ РАН.

Характеристики

Публикация:
Кариологическая характеристика клеточных сублиний почки кенгуровой крысы и фибробластов кожи индийского мунтжака., Полянская Г.Г., Цитология 1988. 30: 732-738
Коллекции:
Коллекция культур клеток позвоночных Института цитологии РАН, г. Санкт-Петербург
Источник получения:
Почка