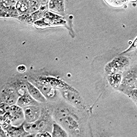
PtK1 (NBL-3-17)

Изображение 1

PtK1 (NBL-3-17)

PtK1 (NBL-3-17)

Описание

Подготовка образца к выдаче начинается только после получения оплаты и согласования приблизительной даты передачи готового материала и занимает 10-14 дней.

Один образец соответствует 2 культуральным флаконам площадью 25 см2 (на каждом флаконе приблизительно 1,0 - 1,5 Х 106 клеток, если вам требуется большее количество клеток вы можете воспользоваться услугой "нарастить под заказ").

 

Паспорт коллекционной клеточной линииPtK1 (NBL-3-17)

Происхождение: кенгуровая крыса, почка, сублиния Pt K1 (NBL-3).
Цитология 1988. 30: 732-738; Цитология 1996. 38: 75-84. Атлас хромосом постоянных линий человека и животных, С.Е. Мамаева, 2002. М. Научный мир.
Морфология: эпителиоподобная
Способ культивирования: монослойный
Условия культивирования:
среда - DMEM
сыворотка - эмбриональная бычья 10%
процедура пересева - cнятие клеток, используя трипсин 0.25%: версен 0.02% (1:3), кратность рассева 1:2 -1:3
криоконсервация - ростовая среда, 10% DMSO, 1.0х106 клеток/мл в ампуле
Жизнеспособность после криоконсервации: 88% (окраска трипановым синим на нулевом пассаже)
Контроль контаминации: бактерии, грибы и микоплазма не обнаружены
Контроль видовой идентичности: кариологический анализ
Кариология: 2n= 12, пределы изменчивости по числу хромосом 15-19, модальное число хромосом 17, маркерные хромосомы отсутствуют, гипотриплоид, один маленький метацентрик триплоидного кариотипа самки отсутствует, количество полиплоидов 3.0%.
Область применения: клеточная биология, цитогенетика.
Коллекции: КККП ИНЦ РАН.

Характеристики

Публикация:
Кариологическая характеристика клеточных сублиний почки кенгуровой крысы и фибробластов кожи индийского мунтжака., Полянская Г.Г., Цитология 1988. 30: 732-738
Коллекции:
Коллекция культур клеток позвоночных Института цитологии РАН, г. Санкт-Петербург
Источник получения:
Почка