RD

Изображение 1

RD

RD

Описание

Подготовка образца к выдаче начинается только после получения оплаты и согласования приблизительной даты передачи готового материала и занимает 10-14 дней.

Один образец соответствует 2 культуральным флаконам площадью 25 см2 (на каждом флаконе приблизительно 1,5 - 2 Х 106 клеток, если вам требуется большее количество клеток вы можете воспользоваться услугой "нарастить под заказ").

 

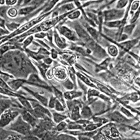
Паспорт коллекционной клеточной линииRD

Происхождение: человек, эмбриональная рабдомиосаркома.
J. Virol. 1967. 1: 326; Cancer 1969. 24: 520-526; Атлас хромосом постоянных линий человека и животных, С.Е. Мамаева, 2002. М. Научный мир.
Морфология: веретеноподобная, встречаются большие многоядерные клетки.
Способ культивирования: монослойный
Условия культивирования: среда - DMEM
сыворотка - эмбриональная бычья 10%
процедура пересева - cнятие клеток, используя трипсин 0.25%: версен 0.02% (1:3), кратность рассева 1:2, оптимальная плотность 4.0х104 клеток/см2
криоконсервация - ростовая среда, 5-10% DMSO, 1.5-2.0x106 клеток/мл в ампуле
Жизнеспособность после криоконсервации: 80% (окраска трипановым синим на нулевом пассаже)
Контроль контаминации: бактерии, грибы и микоплазма не обнаружены
Контроль видовой идентичности: кариологический и изоферментный (ЛДГ и Г6ФДГ) анализы
Кариология: 2n= 46, пределы изменчивости по числу хромосом 45-50, модальное число хромосом 49, некоторые клетки имеют микрохромосомы, количество маркеров – 16 (дифференциальная окраска), количество полиплоидов 3.0%.
ДНК профиль (STR): Amelogenin: X, Х
CSF1PO: 10, 11
D13S317: 13, 13
D16S539: 10, 11
D5S818: 11, 11
D7S820: 8, 12
THO1: 9.3, 9.3
TPOX: 9, 9
vWA: 18, 18
Другие характеристики: чувствительность к вирусам: полиовирус 1, энтеровирусы ЕСНО, везикулярный стоматит, простой герпес, коровья оспа, цитомегаловирус, вирус парагриппа, ротавирусы.
Изоэнзимы G6PD, B; секреция миоглобина, миоглобин и миозин АТФ-азная активность.
Область применения: дифференцировка, биохимия, вирусология, генетика, канцерогенез, клеточная биология.
Коллекции: ATCC CCL 136; ECACC 85111502; БелКККЧЖ; НИИ вирусологии РАМН; НИИ гриппа РАМН; ЕСКК; КККП ИНЦ РАН.

Характеристики

Автор:
RM McAllister
Публикация:
Cultivation in vitro of cells derived from a human rhabdomyosarcoma., McAllister RM, et al., Cancer 24: 520-526, 1969. PubMed: 4241949Cancer 1969. 24: 520-526
Коллекции:
Коллекция культур клеток позвоночных Института цитологии РАН, г. Санкт-Петербург
Источник получения:
Рабдомиосаркома
Видовая принадлежность:
Человек (Homo sapiens)
Оборудование ЦКП работает в течении всего календарного года в интересах базовой организации и для оказания услуг сторонним пользователям.