RK13

Изображение 1

RK13

RK13

Описание

Подготовка образца к выдаче начинается только после получения оплаты и согласования приблизительной даты передачи готового материала и занимает 10-14 дней.

Один образец соответствует 2 культуральным флаконам площадью 25 см2 (на каждом флаконе приблизительно 1,5 - 2 Х 106 клеток, если вам требуется большее количество клеток вы можете воспользоваться услугой "нарастить под заказ").

 

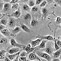
Паспорт коллекционной клеточной линииRK13

Происхождение: кролик, почка.
Lancet 1963. 2: 640; J. Pathol. Bacteriol. 1968. 95: 377; Annali Sclavo 1982. 24: 336.
Морфология: эпителиоподобная
Способ культивирования: монослойный
Условия культивирования:
среда - ЕМЕМ
сыворотка - эмбриональная бычья 10%
др. компоненты - NEAA 1%
процедура пересева - cнятие клеток, используя трипсин 0.25%: версен 0.02% (1:3), кратность рассева 1:2 - 1:6, оптимальная плотность 2.0-4.0 х104 клеток/см2
криоконсервация - ростовая среда, 5 – 10% DMSO, 1.0-3.0х106 клеток/мл в ампуле
Жизнеспособность после криоконсервации: 80-90% (окраска трипановым синим на нулевом пассаже)
Контроль контаминации: бактерии, грибы и микоплазма не обнаружены
Контроль видовой идентичности: кариологический и изоферментный (ЛДГ, Г6ФДГ) анализ
Кариология: 2n= 44, пределы изменчивости по числу хромосом 62-68, модальное число хромосом 66, количество маркеров - 1, крупный акроцентрик (рутинная окраска), количество полиплоидов 2,6%
Эффективность клонирования: 39%.
Другие характеристики: чувствительность к вирусам: краснуха, вирус В, простой герпес, псевдобешенство, коровья оспа, поксвирус кролика, миксома, аденовирус обезьян, вирус леса Семлики, везикулярный стоматит, кроличья оспа, энтеровирусы человека, бычий ринотрахеит.
Область применения: вирусология.
Коллекции: АТСС ССL 37; ECACC 88062427; НИИ вирусологии РАМН; НИИ гриппа РАМН; ЕСКК; КККП ИНЦ РАН.

Характеристики

Автор:
AJ Beale, GC Christofinis
Публикация:
• Some biological characters of cell lines derived from normal rabbit kidney. Christofinis GJ, Beale AJ. J. Pathol. Bacteriol. 1968. 95: 377-381 (PMID: 4297026)
Коллекции:
Коллекция культур клеток позвоночных Института цитологии РАН, г. Санкт-Петербург
Источник получения:
Почка