T 98G

Изображение 1

T 98G

T 98G

Описание

Подготовка образца к выдаче начинается только после получения оплаты и согласования приблизительной даты передачи готового материала и занимает 10-14 дней.

Один образец соответствует 2 культуральным флаконам площадью 25 см2 (на каждом флаконе приблизительно 1,5 - 2 Х 106 клеток, если вам требуется большее количество клеток вы можете воспользоваться услугой "нарастить под заказ").

 

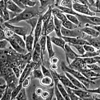
Паспорт коллекционной клеточной линииT 98G

Происхождение: человек, глиобластома.
J. Cell Physiol. 1979. 99: 43-54.
Морфология: эпителиоподобная
Способ культивирования: монослойный
Условия культивирования: среда - ЕМЕМ
сыворотка - эмбриональная бычья 10%
др. компоненты - NEAA 1%
процедура пересева - cнятие клеток, используя трипсин 0.25%: версен 0.02% (1:3), кратность рассева 1:3 - 1:6.
криоконсервация - ростовая среда, 10% DMSO, 1.0х106 клеток/мл в ампуле
Жизнеспособность после криоконсервации: 90% (окраска трипановым синим на нулевом пассаже)
Контроль контаминации: бактерии, грибы и микоплазма не обнаружены
Контроль видовой идентичности: кариологический анализ
Кариология: 2n= 46, модальное число хромосом 128-132, количество маркеров - 14-16 (дифференциальная окраска), количество полиплоидов 1.3% .
ДНК профиль (STR): Amelogenin: X, Y
CSF1PO: 10, 12
D13S317: 13, 13
D16S539: 13, 13
D5S818: 10, 12
D7S820: 9, 10
THO1: 7, 9.3
TPOX: 8, 8
vWA: 17, 20
Область применения: изучение механизмов остановки клеточной пролиферации, синхронизации клеток в G1-фазе и старения.
Коллекции: ATCC CRL 1690; КККП ИНЦ РАН.

Характеристики

Автор:
GH Stein
Публикация:
T98G: an anchorage-independent human tumor cell line that exhibits stationary phase G1 arrest in vitro. Stein GH., J. Cell Physiol. 1979. 99: 43-54 (PMID: 222778)
Область применения:
Ситковская А. О. и др. Цитотоксическое действие неклассифицированных ротавирусов группы К на культуры клеток T98G и U87MG in vitro //Цитология. – 2020. – Т. 62. – №. 3. – С. 189-200.
Коллекции:
Коллекция культур клеток позвоночных Института цитологии РАН, г. Санкт-Петербург
Источник получения:
Глиобластома
Видовая принадлежность:
Человек (Homo sapiens)
Оборудование ЦКП работает в течении всего календарного года в интересах базовой организации и для оказания услуг сторонним пользователям.