Vero

Изображение 1

Vero

Vero

Описание

Подготовка образца к выдаче начинается только после получения оплаты и согласования приблизительной даты передачи готового материала и занимает 10-14 дней.

Один образец соответствует 2 культуральным флаконам площадью 25 см2 (на каждом флаконе приблизительно 1,5 - 2 Х 106 клеток, если вам требуется большее количество клеток вы можете воспользоваться услугой "нарастить под заказ").

 

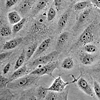
Паспорт коллекционной клеточной линииVero

Происхождение: африканская зеленая мартышка, почка.
Nippon Rincho 1963. 21: 1209; Arch. GVS Virusforsch. 1969. 27: 379
Морфология: фибробластоподобная
Способ культивирования: монослойный
Условия культивирования:
среда - DMEM
сыворотка - эмбриональная бычья 10%
процедура пересева - cнятие клеток, используя трипсин 0.25%: версен 0.02% (1:2), кратность рассева1:3-1:10;
оптимальная плотность1.0-3.0х104 клеток/см2
криоконсервация - ростовая среда,10% DMSO, 1.0-2.0х106 клеток/мл в ампуле
Жизнеспособность после криоконсервации: 77%(окраска трипановым синим на нулевом пассаже)
Контроль контаминации: бактерии, грибы и микоплазма не обнаружены
Контроль видовой идентичности: кариологический и изоферментный (ЛДГ, Г6ФДГ, нуклеозидфосфорилаза) анализ.
Кариология: 2n=60, пределы изменчивости по числу хромосом 53-60, модальное число хромосом 57-58 , количество маркеров 3 (рутинная и дифференциальная окраска, С диски), количество полиплоидов 2%.
Эффективность клонирования: 24%.
Другие характеристики: чувствительность к вирусам: ортомиксовирусы, в частности, грипп; арбовирусы Гета, Пиксуна, Ндуму, Модок, Росс Ривер, Семлики, Парамарибо, Гуароа, Кокобера, Мурутуку, Дрермистон, Понгола, Такарибе; бычий лейкоз; аденовирус 12; парамиксовирусы, в частности, парагрипп 1 и 4, корь и респираторно-синцитиальный вирус; полиовирус 3; краснуха; африканская лихорадка свиньи; реовирусы; простой герпес; везикулярный стоматит; ECHO; SV 40; SV 5
Область применения: вирусология, клеточная биология
Коллекции: АТСС ССL81; ECACC 84113001, 88020401; ICLC ATL 95005; НИИ вирусологии РАМН; НИИ гриппа РАМН; ЕСКК; КККП ИНЦ РАН, СХЖ РАСХН.

Характеристики

Область применения:
Mumyatova V. A. et al. Effect of Chitosan-(Poly) Nitroxides on Normal and Tumor Cells under Conditions of Induced Oxidative Stress //Bulletin of Experimental Biology and Medicine. – 2019. – Т. 166. – №. 6. – С. 779-784.
Коллекции:
Коллекция культур клеток позвоночных Института цитологии РАН, г. Санкт-Петербург
Источник получения:
Почка

Литература

  1. Bayraktar V.M. Urogenital Chlamydiosis and pathophysiological mechanisms of disease development in chronic prostatitis sufferers./ VIІ th scientific and practical internet-conference for the international participation «Mechanisms of pathological processes development and diseases, their pharmacological correction. 14 November, 2024. P.28-32. (National Pharmaceutical University, Kharkiv, Ukraine)
  2. Bayraktar V.M. Activity of herpes simplex virione vaccine for men after formaldehyde neutralization./ VIІ th scientific and practical internet-conference for the international participation «Mechanisms of pathological processes development and diseases, their pharmacological correction. 14 November, 2024. P.33-37. (National Pharmaceutical University, Kharkiv, Ukraine)
Оборудование ЦКП работает в течении всего календарного года в интересах базовой организации и для оказания услуг сторонним пользователям.